Det er ikke mange år siden at avlivning var eneste mulighet hvis en hest brakk et ben. Å ha en hest med bruddskade stående som rekonvalesent, var uaktuelt, mulighetene for behandling var få, og prognosen for framtidig bruk var dårlig.

I dag er situasjonen en annen. Fortsatt er mulighetene færre for en hest med brukket ben enn for et menneske med tilsvarende skade. Men med bedre metoder for kirurgi, smertebehandling og rekonvalesens, kan bruddbehandling bli så vellykket at hesten kan brukes som tidligere.
En bruddskade kan oppstå i enhver tenkelig knokkel som finnes i hestens kropp, og det kan være flere årsaker til skaden.
Denne artikkelen beskriver et forløp slik det typisk kan foregå for en hest som på grunn av en hendelse (et fall, et spark ellerlignende), har fått en skade et sted inederste del av benet, nedenfor kneet.
Et brudd i hovbenet, i albueregionen, eller på en av de små knoklene i kneleddet, kan både se annerledes ut og ha behov for annerledes behandling.
Akutte symptomer og behandling
Uttrykket “en bruddhalt hest” beskriver godt hva man ser i en situasjon der bruddskade må mistenkes. Hesten er tydelig halt, vil ugjerne belaste benet, i blant setter den ikke benet i bakken i det hele tatt.
Haltheten oppstår akutt, for eksempel i forbindelse med et spark eller fall. Benet er gjerne ømt, varmt og hovent der skaden har skjedd.
De fleste er raske med å ringe dyrlegen når en slik situasjon oppstår. Ved bruddskader spiller også den første veterinæren på stedet en viktig rolle.
Veterinæren må særlig sørge for:
1) smertebehandling/stabilisering av allmenntilstanden og
2) fiksering/stabilisering av det skadete benet.
Smertebehandling
En hest med brukket ben er ofte preget av smerten. I blant kan hesten gå i sjokk på grunn av påkjenningen. Det er viktig at veterinæren undersøker hestens allmenntilstand og forsikrer seg om at den er relativt stabil.
Ofte kan det være nødvendig med væskebehandling i blodet for å opprettholde hestens blodtrykk og forhindre sjokk.
Å redusere smerten krever som regel sterkere medikamenter enn “vanlig” smertestillende/betennelsesdempende. Ofte velger veterinæren å gi hesten et middel som både demper smerten og i tillegg virker beroligende/sløvende.
Stabilisering
Det som særlig gjør en bruddskade smertefull er at knokkelflatene gnis mot hverandre fordi bruddstedet er ustabilt. Å stabilisere benet forhindrer at bruddet blir større, men i tillegg er det en viktig del av smertebehandlingen.
Selv en hest som i utgangspunktet ikke engang kan sette benet i bakken, kan i noen tilfeller gå relativt normalt etterat bandasje eller gips er lagt.
Et brukket ben kan gjerne stives med gips eller tilsvarende herdende materiale, og noen veterinærer har dette i bilen. Men siden hesten ofte skal transporteres til en hesteklinikk, hvor benet igjen skal undersøkes, kan det være mer aktuelt å legge en bandasje som det er lettere å fjerne.
For at en bandasje skal være sterk nok til å stive av et brukket ben, må den være svært tykk, med mange lag av bomull. En god tommelfingerregel er at benet skal være dobbelt så tykt med bandasje som uten, og når du banker på bandasjen med knoken skal det høres ut som du banker på en melon.
Den må også være så lang at den rekker over og under leddene som ligger nærmest skaden. Om bruddet for eksempel sitter midt på pipa, må bandasjen gå fra over hasen til under koden.
Når bandasjen er lagt og hesten er smertestilt, er tiden innefor å vurdere tiltak. Med god stabilisering av benet og tilstrekkelig medisinering, vil de fleste hester tåle å bli transportert til en klinikk der skaden undersøkes nærmere.
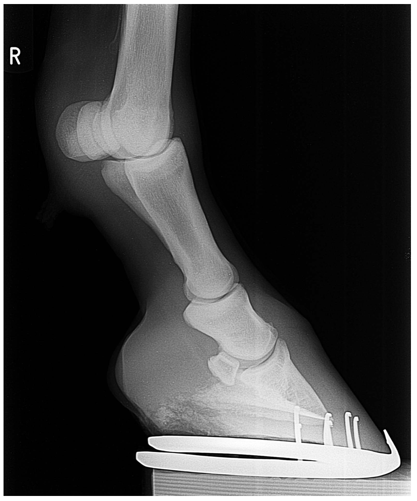
Røntgen
Ut fra bildene kan man bedømme bruddets type og omfang. For å bestemme skadens alvor, er røntgen det viktigste hjelpemiddelet.

Når hesten “brekker benet”, er det en av knoklene som er brukket av, helt eller delvis. Knoklene vises tydelig på røntgenbilder.
Ulike typer bruddskader
Men det finnes ulike typer bruddskader, og skadens art bestemmer den videre behandlingen og prognose.
Et brudd, eller en fraktur, er en bruddlinje som går gjennom en knokkel slik at det dannes et eller flere fragmenter.
En brist, eller en fissur, er en sprekk i knokkelen. Sprekken er da ikke gjennomgående, knokkelen er ikke fullstendig av. De første symptomene er ofte de samme som ved et brudd, men i blant er de mindre kraftige – hesten er mindre halt, benet er mindre hovent. En brist kan utvikle seg til et brudd. At hesten belaster benet når den reiser seg, kan være tilstrekkelig.
Ved en dislokert fraktur har knokkeldelene også forskjøvet seg i forhold til hverandre. Dette er svært smertefullt, og hesten er ofte svært halt.
Et åpent brudd er betegnelsen som brukes dersom det er et sår i huden og vevet under, slik at bruddstedet er blottet. I blant oppstår dette når bruddet dislokeres i den grad at den ene knokkeldelen trenger seg ut gjennom huden.
Et komplisert brudd betegner et brudd med mange biter. Det er da flere bruddlinjer i stedet for en, og i stedet for to store fragmenter, ses mange små, akkurat som om benvevet i området er knust.
Når en fraktur angår et ledd, vil det si at bruddlinjen strekker seg inn i et ledd og deler knokkelen i to i et område som utgjør en leddflate. Dette kan gjøre skaden mer alvorlig, fordi det vil utvikles ujevnheter i leddflaten etter hvert som bruddet leges. Et ledd er avhengig av at leddflatene glir mykt mot hverandre, og ujevnheter kan forårsake kronisk leddbetennelse.
Alt dette, samt flere andre faktorer, bedømmes ut fra røntgenbildene. Med dette som grunnlag, vurderer man neste steg.
Behandling
Et brudd kan behandles konservativt eller kirurgisk. Med konservativ behandling mener vi at man ikke opererer, men lar bruddet gro av seg selv med såkalt utvendig fiksering, altså bandasje eller gips.
Denne behandlngsmåten velges gjerne dersom bruddet er enkelt, bruddflatene ligger mot hverandre, og en rask og ukomplisert helbredelse er sannsynlig.
Kirurgisk behandling innebærer operasjon. Bruddet stabiliseres ved hjelp av skruer, plater og/eller wire. Man er da ute etter å bringe bruddflatene i nær kontakt med hverandre, nøyaktig slik benet var før skaden oppstod. Noen fourtsetninger må være til stede for at dette skal la seg gjennomføre, og i blant velger kirurgen å avstå fra operasjon, fordi risikoen overstiger den sannsynlige gunstige effekten av inngrepet.
Risiko/komplikasjoner
Både konservativ og kirurgisk behandling innebærer risiko for komplikasjoner.
Implantatinfeksjon
Ved kirurgi er det alltid en risiko for at platene eller skruene man setter inn, ikke er sterile, men at man får med en bakterie, og det utvikles en infeksjon.
Dersom dette skjer, må man sette i gang en kraftig antibiotikabehandling rettet direkte mot det infiserte området. I blant er ikke dette tilstrekkelig til å bekjempe infeksjonen, og implantatet må fjernes ved en ny operasjon.
Skader ved oppvåkning
Når en hest skal våkne fra anestesi, innebærer det alltid en risiko, fordi bevegelsene er ukoordinerte og voldsomme før hesten kommer helt til bevissthet. I tillegg har de ofte nedsatt muskelstyrke og balanse etter tiden på operasjonsbordet.
Ved en bruddskade økes risikoen ytterligere, fordi hesten står i fare for å “slå opp” skaden som har blitt reparert under operasjon.
Nyere kunnskap om narkose på hest gjør imidlertid at flertallet av hester som opereres, har en relativt rolig oppvåkning.
Belastningsforfangenhet
Hesten kan utvikle forfangenhet på et friskt ben forårsaket av skade på et annet.
Mekanismen bak dette er at belastningen på det friske benet blir uforholdsmessig stor. Blodtilførselen reduseres, og festet mellom hovben/lærhud og hovkapselen utsettes for stor påkjenning. Forfangenhet utvikles når festet begynner å gi etter for presset, og hovbenet slipper taket i hovkapselen.
Et viktig forebyggende tiltak mot belastningsforfangenhet er smertebehandling, slik at hesten ikke fullstendig unngår å belaste det brukne benet, og dermed avlaste de tre andre.
Rekonvalesens
Enten man velger konservativ eller kirurgisk behandling, vil en periode med rekonvalesens være nødvendig. Hesten skal i denne perioden være mest mulig i ro, slik at bruddet får fred til å gro.
Dette innebærer ukesvis, ofte månedsvis, med bokshvile eller begrenset bevegelsesfrihet. Store deler av denne perioden, vil hesten stå på hesteklinikken. Der byttes bandasjen med jevne mellomrom, og veterinærene overvåker helbredelses-prosessen.
Det er viktig å holde hesten smertefri i denne perioden, og det gjøres ved en velsittende bandasje sammen med smertestillende midler. I tillegg bør man tenke på fôring og forebygging av kolikk, fordi hester som har vært aktive og plutselig skal hvile, utvikler ofte fordøyelsesproblemer.
Nye røntgenbilder er viktig for å kontrollere helbredelsen, at den går fremover, og at knokkelen gror riktig sammen. En brist som tidligere ikke var synlig på røntgen, kan komme til syne etter en ukes tid, fordi benveveti kanten “spises opp” før det hele gror til på ny.
Prognose
Prognosen avhenger av den opprinnelige skadens omfang, av behandlingsmuligheter, og av om det oppstår komplikasjoner underveis.
Et ukomplisert brudd, som lar seg fiksere enten ved operasjon eller ved utvendig bandasje, har gode sjanser for å gro, og hesten kan komme tilbake i samme form som den var.
Dersom bruddet angår et ledd, reduseres prognosen. Og dersom bruddet er komplisert, altså omfatter flere fragmenter, er en forutsetning for en god prognose, at fragmentene kan stabiliseres i nærheten av hverandre slik de lå opprinnelig.
Prognosen vil også reduseres dersom det under legingsprosessen dannes forkalkninger og påleiringer. De kan påvirke andre strukturer som sener eller bånd.
Slike faktorer har man ofte oversikt over i løpet av de innledende undersøkelsene. Hvis man unngår komplikasjoner, er det sannsynlig at behandlingen man setter i gang, er vellykket. Hesten blir smertefri og kan brukes som normalt når skaden er vel leget.
LES OGSÅ Tidlig osteoartritt – hvordan kan det oppdages?
LES OGSÅ Unngå overoppheting og seneskader ved bandasjering av hestebein
Gi oss gjerne beskjed hvis du finner noe feil i artikkelen.
Categories: Artikler, Hestevelferd og helse

Leave a comment