Røntgenundersøkelser av hestens hov er svært nyttig for korrekt beskjæring og skoing. Det vil kunne forebygge feilbelastning og halthet, men også optimalisere beskjæring og beslag for bedre prestasjon. Hos en hest med dårlige høver, ubalanserte høver eller unormal vekst, vil røntgenbilder være til hjelp for barfottrimmer eller hovslager i prosessen fram til en frisk hov.

I forkant av undersøkelsen kan det med fordel være kontakt mellom hovslager og veterinær, for å bli enige om hvilke bilder hovslager er mest interessert i, hvilke målinger som ønskes utført, og om hesten har noen spesielle utfordringer det bør tas hensyn til.
Ved røntgenundersøkelse av hovene kan det i noen tilfeller være nødvendig å gi hesten litt beroligende. Høvene må plasseres på blokker slik at de kommer litt opp fra gulvet, og noen hester synes dette kan være en utfordring. Litt beroligende medisin vil kunne gjøre situasjonen roligere og lettere for både hest, eier og veterinær.
Før undersøkelsen må høvene gjøres rene slik at ikke gjørme og grus skaper forstyrrelser i bildet. Ved undersøkelse med tanke på skoing og/eller beskjæring bør bildene tas med skoene på. Dette gir opplysninger om hovens overrulling og balanse. Det er vanlig å merke hoven med røntgentett materiale på noen holdepunkter, for eksempel på hovveggen, på strålespissen og ved kronranden.
Avhengig av hva som er hensikten med undersøkelsen, kan man ta ulike bilder av hoven. Dersom det mest relevante er beskjæring og/eller skoing, vil sidebilder være det viktigste, gjerne i kombinasjon med bilde rett forfra/bakfra. Man kan også fokusere på hovseneben, hovbensgrener, draktbruskforbeining, hovnbensbrudd eller andre problemstillinger, og da kan det være nødvendig å komplettere med bilder fra andre vinkler.
LES OGSÅ – Halthet hos hester: Tidlig oppdagelse og viktigheten av grundig undersøkelse

Ved spikertramp er røntgenbilder gull verdt for å kunne bedømme skadens omfang.
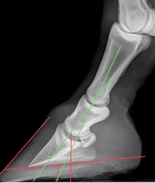
Når bildene er tatt, kan de behandles digitalt, før de oversendes til eier og hovslager. Det er spesielt interessant å benytte måleverktøy ved behandling av bildene, som en veiledning på hvordan hoven bør korrigeres. Ved problemer som for eksempel forfangenhet, vil også noen målinger kunne gi en pekepinn om alvorlighetsgrad og prognose.
Flere målinger kan være akutelle, dette avtales gjerne mellom hovslager og veterinær. Noen eksempler kan være hovvinkel, lengde på hovvegg i tå, lengde på hovvegg i drakt. Såletykkelse, hovveggstykkelse, hovbensvinkel og overrullingspunkt.

Alle hester kan ha nytte av røntgenveiledet skoing/beskjæring. Likevel er det noen situasjoner der det kan være mer aktuelt enn andre. Eksempler på dette kan være forfangenhet, såleømhet, feilbalanse, underskutte drakter, misvekst av hoven eller vekstproblem hos unghester. Ta gjerne en prat med din hovslager/barfottrimmer om det kan være nyttig for din hest.
LES OGSÅ – Hestens hov -og benstilling er viktig for hestens holdbarhet
Gi oss gjerne beskjed hvis du finner noe feil i innlegget.
Foto: Pixabay
Categories: Artikler, Hestevelferd og helse

Leave a comment